[군자역 치과] 이가 시리고 잇몸 경계가 패였다면? ‘치경부 마모증’ 원인과 치료법
글쓴이: 대표원장 박재훈 / 2026년 04월 10일
📑 목차
- 1. 치경부 마모증이란? (정의와 주요 증상)
- 2. 치경부 마모증, 왜 생길까? (4대 핵심 원인)
- 3. 방치하면 위험한 치경부 마모증의 진행 단계
- 4. 치아 건강을 지키는 5가지 예방법
- 5. 치경부 마모증 관련 자주 묻는 질문(FAQ)
군자역 치과 서울든든한치과가 알려드리는 치경부 마모증 관리 가이드
진료실에서 환자분들이 가장 많이 호소하시는 증상 중 하나가 바로 이것입니다.
“원장님, 이가 너무 시려요. 양치할 때 피가 나고, 차갑거나 뜨거운 걸 먹으면 찌릿해요.”
이럴 때 많은 분이 충치를 걱정하시지만, 사실 검진해 보면 충치가 아닌 ‘치경부 마모증(치아 목 부분 패임)’이 원인인 경우가 굉장히 많습니다. 치아는 한 번 마모되면 자연 회복이 불가능하기 때문에 정확한 원인 파악과 조기 관리가 필수입니다.

오늘 군자역 치과 서울든든한치과에서 치경부 마모증의 원인부터 예방, 치료법까지 핵심만 짚어드리겠습니다.
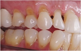
1. 치경부 마모증이란?
💡 핵심 요약: 치아와 잇몸이 맞닿는 ‘목 부분(치경부)’이 쐐기 모양으로 움푹하게 파여 상아질이 노출되면서 시린 통증을 유발하는 질환입니다.
보통 치아는 단단한 법랑질이 감싸고 있지만, 치경부는 구조적으로 법랑질이 얇고 힘이 집중되는 취약한 부위입니다. 이곳이 패이게 되면 외부 자극이 신경에 직접 전달되어 다음과 같은 증상이 나타납니다.
- 극심한 시림: 찬물, 뜨거운 음식, 심지어 찬바람에도 이가 찌릿합니다.
- 심미적 저하: 잇몸 라인이 패여 보여 치아가 길어 보이거나 형태가 변형되어 보입니다.
- 지속적 통증: 마모가 신경 근처까지 진행되면 가만히 있어도 통증이 느껴집니다.
2. 치경부 마모증, 왜 생길까?
군자역 치과에서 분석한 마모증의 원인은 크게 4가지 복합 작용에 의해 발생합니다.
- 잘못된 양치 습관: 칫솔을 좌우로 세게 문지르는 ‘횡마법’ 양치질이나 너무 단단한 칫솔모 사용이 치아 목 부분을 깎아냅니다.
- 과도한 교합력(힘): 수면 중 이갈이, 이를 꽉 무는 습관(이악물기)은 치아에 비정상적인 굴곡 하중을 주어 치경부에 미세 균열을 일으킵니다.
- 산성 환경 노출: 탄산음료, 과일 주스 섭취가 잦거나 위산 역류 질환이 있는 경우 법랑질이 약해져 마찰에 더 쉽게 마모됩니다.
- 노화와 잇몸 퇴축: 나이가 들면서 잇몸이 내려가면 상대적으로 약한 치아 뿌리(상아질)가 드러나 마모 속도가 빨라집니다.
3. 방치하면 위험한 치경부 마모증의 진행 단계
단순히 시린 증상을 넘어서, 방치된 마모증은 악순환의 고리를 만듭니다.

- 플라그 축적: 패인 홈 사이로 음식물 찌꺼기와 세균막(플라그)이 잘 끼어 잇몸 염증과 부기를 유발합니다.
- 치아 파절 위험: 기둥 역할을 하는 목 부위가 가늘어지면 딱딱한 음식을 씹을 때 치아가 통대강 부러질 수 있습니다.
- 신경 손상: 상아질 노출을 넘어 신경이 노출되면 단순 충전 치료가 아닌 신경 치료와 보철(크라운) 치료가 필요하게 됩니다.
4. 치아 건강을 지키는 5가지 예방법
한 번 패인 치아는 다시 차오르지 않습니다. 군자역 치과 박재훈 원장이 추천하는 관리법입니다.
- 회전법 양치질: 칫솔을 좌우로 밀지 말고, 잇몸에서 치아 방향으로 쓸어내리듯 부드럽게 닦으세요.
- 부드러운 칫솔모 & 불소 치약: 치아 표면 마찰을 줄이고 불소 성분으로 법랑질을 강화하여 시림 증상을 완화합니다.
- 나이트가드(마우스피스) 착용: 이갈이나 이악물기가 심한 경우 맞춤 제작 장치로 치아에 가해지는 압력을 분산시켜야 합니다.
- 산성 음식 섭취 후 물 가글: 산성 음료를 마신 후에는 맹물로 입을 헹구고 30분 뒤에 양치하는 것이 좋습니다.
- 6개월 정기 검진: 육안으로 확인하기 어려운 초기 마모를 조기에 발견하고 레진 등으로 메워주는 예방 치료가 가장 경제적입니다.
5. 치경부 마모증 관련 자주 묻는 질문(FAQ)
Q. 패인 부분을 꼭 메워야 하나요?
A. 네, 적극적으로 권장해 드립니다.
홈이 깊어질수록 신경 노출 위험이 커지고 음식물이 끼어 2차 충치를 유발하기 때문입니다. 초기에 레진이나 GI(글래스 아이오노머)로 충전하면 시린 증상 완화와 치아 보호 효과를 동시에 볼 수 있습니다.
Q. 양치할 때 피가 나는 것도 마모증 때문인가요?
A. 네, 연관이 깊습니다.
마모된 브이(V)자 홈에 쌓인 세균막(플라그)이 잇몸에 염증을 일으키면 작은 자극에도 피가 날 수 있습니다. 이 경우 마모 부위 충전 치료와 함께 스케일링을 통한 잇몸 관리가 병행되어야 근본적으로 해결됩니다.
Q. 시린 이 전용 치약만 써도 치료가 되나요?
A. 일시적인 완화일 뿐, 물리적인 치료는 되지 않습니다.
시린 이 치약은 노출된 상아질의 미세관을 막아주어 통증을 줄여주지만, 물리적으로 패인 홈을 다시 채워주지는 못합니다. 거울로 봤을 때 이미 눈에 띄게 패였다면 치과 치료가 우선입니다.
마무리하며
치경부 마모증은 단순히 “조금 시린 불편함”으로 끝나는 질환이 아닙니다. 그대로 두면 치아의 구조적 결함으로 이어져 결국 큰 치료가 필요하게 되는 만큼, 조기 진단과 생활 습관 교정이 무엇보다 중요합니다.
군자역 치과 서울든든한치과에서는 3D CT와 구강 스캐너를 활용해 환자분의 마모 정도와 교합 관계를 정밀하게 분석합니다. 단순한 땜질식 처방이 아닌, 환자분의 생활 패턴까지 고려한 든든한 치료를 약속드립니다.
양치할 때마다 찌릿한 불편함이 느껴지신다면 참지 마시고 서울든든한치과로 내원해 주세요. 여러분의 평생 치아 건강, 정직하고 세심하게 지켜드리겠습니다.
감사합니다.
군자역 치과
서울든든한치과 대표원장 박재훈 드림
[진료 안내 및 예약]
서울든든한치과는 과잉 진료 없이 정직한 치료를 지향합니다.
네이버 예약을 통해 미리 일정을 확인하시면 대기 시간을 줄여 더욱 꼼꼼한 상담을 받으실 수 있습니다.